Nationale Initiative NAIPO: KI soll Krebsbehandlung in der Schweiz personalisieren

Berner Forschende treiben vier Innosuisse Flagship Initiativen voran

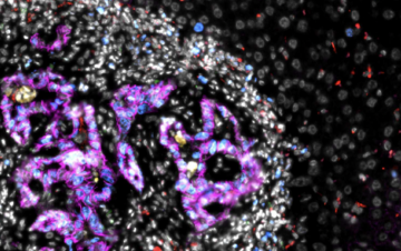
Basler Forschung entwickelt Fusionsprotein für gezieltere Krebstherapien

Wenn Medizin nicht passt, sterben Menschen

Medtech-Branche unterstützt Paket Schweiz–EU und fordert gesicherten Marktzugang

Neue Empfehlung für Stellenbeschreibung von APN in hausärztlichen Praxen

Wie Studierende lernen, mit Wissenschaftsskepsis umzugehen

Schweiss-Sensoren sollen biologisches Alter präzise bestimmen

Studie: Ehemalige Geflüchtete können psychologische Behandlungslücke schliessen

Swiss Gender Medicine Symposium 2025

Sponsored

Roche: Susvimo zeigt stabile Wirksamkeit über fünf Jahre bei nAMD

Zink in verstopften Fertigspritzen nachgewiesen

Ypsomed integriert zukünftigen Glukose-Keton-Sensor von Abbott in mylife Loop

Gewusst wo: Knochenstruktur verrät optimale Position für Schrauben bei Frakturen

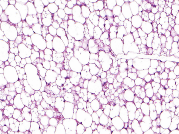
Therapiedurchbruch bei PIK3CA-mutiertem Brustkrebs

Swiss Rockets verstärkt Führungsteam mit erfahrenen Branchenprofis

Genommedizin: Baustein der modernen Versorgung

Ausschreibung für interdisziplinäre psychiatrische Projekte gestartet

Neue Messmethode enthüllt verborgene Gesundheitsrisiken in Feinstaub

Neue Interventionsmethode vielversprechend bei Vorhofflimmern

Mehr laden

EVENTS

Heimtextil

Weltweit führende Fachmesse für Wohn- und Objekttextilien

Datum: 13.-16. Januar 2026

Ort: Frankfurt am Main (D)

Swissbau

Fachmesse der Schweizer Bau- und Immobilienwirtschaft

Datum: 20.-23. Januar 2026

Ort: Basel (CH)

Empack Schweiz

Schweizer Fachmesse für Verpackungslösungen und -technologien

Datum: 28.-29. Januar 2026

Ort: Bern (CH)

Logistics & Automation

Fachmesse für Intralogistik, Distribution, Transport und E-Logistik in der Schweiz

Datum: 28.-29. Januar 2026

Ort: Bern (CH)

Recyclingkongress

Kongress über aktuelle Entwicklungen, Innovationen und Herausforderungen im Bereich Recycling

Datum: 30. Januar 2026

Ort: Biel/online (CH)

Pro Sweets Cologne

Internationale Zuliefermesse für die Süßwaren- und Snackindustrie

Datum: 1.-4. Februar 2026

Ort: Köln (D)

aqua pro

Schweizer Fachmesse für die Bereiche Trinkwasser, Abwasser und Gas

Datum: 4.-6. Februar 2026

Ort: Bulle (CH)

glug.swiss

Schweizer Fachmesse und ein Treffpunkt für die Getränkeindustrie, insbesondere für Brauer und Getränkeproduzenten

Datum: 5.-6. Februar 2026

Ort: Aarau (CH)

BioFach

Weltleitmesse für Bio-Lebensmittel

Datum: 10.-13. Februar 2026

Ort: Nürnberg (D)

Vivaness

Internationale Fachmesse für Naturkosmetik

Datum: 10.-13. Februar 2026

Ort: Nürnberg (D)

LOPEC

International führende Fachmesse mit Kongress für gedruckte Elektronik

Datum: 24.-26. Februar 2026

Ort: München (D)

Ostschweizer Food Forum

Fachveranstaltung für die Ernährungswirtschaft in der Ostschweiz

Datum: 5. März 2026

Ort: Weinfelden (CH)

ZHAW-IFM Day

Fachtagung über aktuelle Themen und Herausforderungen im Facility Management (FM)

Datum: 6. März 2026

Ort: Wädenswil (CH)

INTERNORGA

Leitmesse für Hotellerie, Gastronomie, Bäckereien und Konditoreien

Datum: 13.-17. März 2026

Ort: Hamburg (D)

Pro Wein

Internationale Fachmesse für Weine und Spirituosen

Datum: 15.-17. März 2026

Ort: Düsseldorf (D)

FutureHealth Basel

Konferenz für die Zukunft des Gesundheitswesens in der Schweiz

Datum: 19. März 2026

Ort: Basel (CH)

Gastia

Ostschweizer Branchentreffpunkt der Gastronomie und Hotellerie

Datum: 22.-24. März 2026

Ort: St.Gallen (CH)

LogiMat

Internationale Fachmesse für Intralogistik

Datum: 24.-26. März 2026

Ort: Stuttgart (D)

HR Festival Europe

Messe für HR-Professionals in der Schweiz

Datum: 24.-25. März 2026

Ort: Zürich (CH)

analytica

Weltleitmesse für Labortechnik, Analytik, Biotechnologie und analytica conference

Datum: 24.-27. März 2026

Ort: München (D)

Trendtage Gesundheit Luzern

Veranstaltung für aktuelle Trends und Perspektiven im Gesundheitswesen

Datum: 25.-26. März 2026

Ort: Luzern (CH)

Schoggifestival

Festival für nachhaltige und faire Schokoladenproduktion

Datum: 29. März 2026

Ort: Zürich (CH)

LogiPharma 4.0

Veranstaltung für die Pharmalogistik und die Lieferketten in der Pharmaindustrie

Datum: 14.-16. April 2026

Ort: Wien (CH)

Hannover Messe

International Messe für alle Technologien rund um die industrielle Transformation

Datum: 20.-24. April 2026

Ort: Hannover (D)

Techtextil

Internationale Leitmesse für technische Textilien und Vliesstoffe

Datum: 21.-24. April 2026

Ort: Frankfurt am Main (D)

Altenpflegemesse

Leitmesse für die Pflegewirtschaft

Datum: 21.-23. April 2026

Ort: Essen (D)

DMEA

Europas führende Messe für Digital Health

Datum: 21.-23. April 2026

Ort: Berlin (D)

Lebensmitteltag

Führende Schweizer Fachtagung für die Lebensmittelbranche

Datum: 23. April 2026

Ort: Luzern (CH)

Swiss Biotech Day

Internationale Konferenz für die Biotechnologiebranche

Datum: 4.-5. Mai 2026

Ort: Basel (CH)

IFAT

Weltleitmesse für Wasser-, Abwasser-, Abfall- und Rohstoffwirtschaft

Datum: 4.-7. Mai 2026

Ort: München (D)

PFLEGE PLUS

Fachmesse für den Pflegemarkt

Datum: 5.-7. Mai 2026

Ort: Stuttgart (D)

London Lab Live

Fachmesse und Konferenz für die Zukunft von Laboren

Datum: 6.-7. Mai 2026

Ort: London (GB)

SBK Kongress

Kongress vom Berufsverband der diplomierten Pflegefachpersonen der Schweiz

Datum: 27.-28. Mai 2026

Ort: Bern (CH)

interpack

Internationale Fachmesse für die Verpackungsindustrie und die zugehörige Prozessindustrie

Datum: 7.-13. Mai 2026

Ort: Düsseldorf (D)

TUTTOFOOD

Internationale Fachmesse für die Lebensmittel- und Getränkeindustrie

Datum: 11.-14. Mai 2026

Ort: Mailand (I)

INDEX

Weltweit führende internationale Fachmesse für die Vliesstoffindustrie

Datum: 19.-22. Mai 2026

Ort: Genf (CH)

PLMA die Welt der Handelsmarken

Internationale Fachmesse für Produkte wie Frisch-, Kühl- und TK-Lebensmittel, Getränke und haltbare Lebensmittel sowie Non-Food-Kategorien wie Kosmetika, Gesundheits- und Schönheitsartikel sowie Haushalts- und Küchenprodukte.

Datum: 19.-20. Mai 2026

Ort: Amsterdam (NL)

ArbeitsSicherheit Schweiz

Fachmesse für Arbeitssicherheit, Gesundheitsschutz und Gesundheitsförderung am Arbeitsplatz

Datum: 20.-21. Mai 2026

Ort: Zürich (CH)

Start-Up Days

Schweizer Konferenz und Netzwerkplattform für Startups, Investoren, KMUs und Unternehmen

Datum: 21. Mai 2026

Ort: Bern (CH)

HealthEXPO

Messe für die neuesten Entwicklungen und Trends in der Gesundheitsbranche

Datum: 30. Mai 2026

Ort: Basel (CH)

Careum Pflegesymposium

Plattform für den Wissensaustausch in der Pflegewelt

Datum: 9. Juni 2026

Ort: Aarau (CH)

Swissmem Industrietag

Konferenz für die Berufsbildung in der Schweizer Tech-Industrie

Datum: 23. Juni 2026

Ort: Bern (CH)

Swiss Medtech Day

Konferenz der Schweizer Medizintechnikindustrie

Datum: 10. Juni 2026

Ort: Bern (CH)

EPHJ-EPMT-SMT

Internationale Ausstellung für Uhrenindustrie, Mikrotechnologie und Medizinaltechnik

Datum: 10.-12. Juni 2026

Ort: Genf (CH)

Vorsorge-Symposium

Fachmesse 2. Säule sowie ein Vorsorge-Symposium

Datum: 10.-11. Juni 2026

Ort: Zürich (CH)

MedTec Summit

Kongress mit technologie- und marktrelevante Themen aus der Medizintechnik- und Gesundheitsbranche

Datum: 15.-18. Juni 2026

Ort: Berlin (D)

E-Healthcare Circle

Konferenz und Plattform für die digitalen Transformation des Gesundheitswesens

Datum: 15.-16. Juni 2026

Ort: Zürich (CH)

MedtecLIVE with T4M

Fachmesse für die gesamte Wertschöpfungskette der Medizintechnik

Datum: 5.-7. Juni 2026

Ort: Stuttgart (D)

GS1 Excellence Days

Konferenz für Innovationen und Lösungen im Bereich der Standardisierung, Identifikation und Geschäftsprozesse

Datum: 18. Juni 2026

Ort: Bern (CH)

Blezinger Healthcare

Fachkonferenz - Das Pflegeheim der Zukunft

Datum: 25.-26. Juni 2026

Ort: Hasliberg (CH)

maintenance Schweiz

Schweizer Fachmesse für industrielle Instandhaltung und Facility Management

Datum: 26.-27. August 2026

Ort: Zürich (CH)

all about automation

Fachmesse für Industrieautomation

Datum: 26.-27. August 2026

Ort: Zürich (CH)

Swiss Green Economy Symposium

Konferenz zum Thema Wirtschaft und Nachhaltigkeit in der Schweiz

Datum: 2.-4. September 2026

Ort: Winterthur (CH)

Immohealthcare

Konferenz zum Thema Spitalbau und Betrieb

Datum: 9. September 2026

Ort: Basel (CH)

IN.STAND

Messe für Instandhaltung und Services

Datum: 15.-19. September 2026

Ort: Stuttgart (D)

Ilmac

Fachmesse für Prozess- und Labortechnologie

Datum: 23.-24. September 2026

Ort: Basel (CH)

Careum Führungstagung

Fachveranstaltung zu aktuellen Themen und Trends in Management, Führung und Leadership

Datum: 15. September 2026

Ort: Olten (CH)

Ilmac Lausanne

Fachmesse und Branchentreff für die Chemie- und Life-Science-Industrie in der Westschweiz

Datum: 23.-24. September 2026

Ort: Lausanne (CH)

SWISS SVG-Trophy

Schweizermeisterschaft der Spital-, Heim-, Gemeinschafts- und Systemgastronomie

Datum: 19. September 2026

Ort: Rothenburg (CH)

POWTECH

Internationale Fachmesse für Technologien zur Verarbeitung von Pulvern, Feststoffen und Flüssigkeiten

Datum: 29. September -1.Oktober 2026

Ort: Nürnberg (D)

Rehacare

Internationale Fachmesse für Rehabilitation, Prävention, Inklusion und Pflege

Datum: 23.-26. September 2026

Ort: Düsseldorf (D)

HR-Forum HealthCare

Austausch über aktuelle Herausforderungen und Entwicklungen im Personalmanagement im Gesundheitsbereich

Datum: Oktober 2026

Ort: Zürich (CH)

Chillventa

Weltleitmesse der Kältetechnik

Datum: 13.-15. Oktober 2026

Ort: Nürnberg (D)

SIAL

Internationale Fachmesse für die Lebensmittelindustrie

Datum: 17.-21. Oktober 2026

Ort: Paris (F)

ZAGG

Fachmesse für die Gastronomie- und Hotelleriebranche

Datum: 18.-21. Oktober 2026

Ort: Luzern (CH)

IFAS

Internationale Fachmesse für den Schweizer Gesundheitssektor

Datum: 20.-22. Oktober 2026

Ort: Zürich (CH)

Kommunikations-Summit

Fachveranstaltung, die sich auf die neuesten Trends, Herausforderungen und Best Practices im Bereich Kommunikation im Gesundheitswesen

Datum: 29. Oktober 2026

Ort: Zürich (CH)

St. Galler Demenz-Kongress

Fachveranstaltung, die sich mit dem Thema Demenz auseinandersetzt

Datum: 11. November 2026

Ort: St.Gallen (CH)

Swiss AgeTech Konferenz

Fachveranstaltung für innovative Technologien für ältere Menschen

Datum: 12. November 2026

Ort: Zürich (CH)

Compamed

Internationale Leitmesse für den medizintechnischen Zuliefererbereich

Datum: 16.-19. November 2026

Ort: Düsseldorf (D)

Medica

Internationale Fachmesse für Medizintechnik, Medizinprodukte, Elektromedizin, Labortechnik und Diagnostika

Datum: 16.-19. November 2026

Ort: Düsseldorf (D)

AUTOMA+

Kongress für die Pharmaindustrie mit Konzentration auf die digitale Transformation und Automatisierung

Datum: 16.-17. November 2026

Ort: Zürich (CH)

ALL4PACK EMBALLAGE

Leitmesse für die Verpackungs- und Intralogistikbranche

Datum: 24.-26. November 2026

Ort: Paris (F)

Swiss Abilities

Fachmesse zur Förderung eines selbstbestimmten Lebens, Gleichstellung und Teilhabe von Menschen mit Behinderung

Datum: 12.-13. März 2027

Ort: Luzern (CH)

Anuga FoodTec

Internationale Zuliefermesse für die Lebensmittel- und Getränkeindustrie

Datum: 23.-26. März 2027

Ort: Köln (D)

Control

Internationale Fachmesse für Qualitätssicherung

Datum: 11.-14. Mai 2027

Ort: Stuttgart (D)

LABVOLUTION

Fachmesse für innovative Laborausstattung und die Optimierung von Labor-Workflow.

Datum: Mai 2027

Ort: Hannover (D)

Achema

Weltleitmesse für Prozessindustrie

Datum: 14.-18. Juni 2027

Ort: Frankfurt am Main (D)

Automatica

Weltleitmesse für intelligente Automation und Robotik

Datum: 22.-25. Juni 2027

Ort: München (D)

LASER World of PHOTONICS

Weltleitmesse und Kongressfür Komponenten, Systeme und Anwendungen der Photonik

Datum: 22.-25. Juni 2027

Ort: München (D)

Swiss Medtech Expo

Fachmesse für die Schweizer Medizintechnik

Datum: September 2027

Ort: Luzern (CH)

CMS Berlin

Internationale Leitmesse für Reinigung und Hygiene

Datum: 21.-24. September 2027

Ort: Berlin (D)

FachPack

Europäische Fachmesse für Verpackung, Technik, Veredelung und Logistik

Datum: 21.-23. September 2027

Ort: Nürnberg (D)

Anuga

Weltweite Ernährungsmesse für Handel und Gastronomie/Ausser-Haus-Markt

Datum: 9.-13. Oktober 2027

Ort: Köln (D)

LOUPE Europe

Fachmesse für die Etiketten-, flexible Verpackungs- und Faltschachtelindustrie, die sich auf Drucktechnologien, Materialien und Produktionslösungen

Datum: 5.-8. Oktober 2027

Ort: Barcelona (ESP)

A + A

Weltleitmesse für sicheres und gesundes Arbeiten

Datum: 19.-22. Okotber 2027

Ort: Düsseldorf (D)

transport-CH

Schweizer Fachmesse für Nutzfahrzeuge und Automobil-Werkstattbedarf

Datum: 10.-13. November 2027

Ort: Bern (CH)

Pumps & Valves

Fachmesse für industrielle Pumpen, Armaturen & Prozesse

Datum: 1.-2. Dezember 2027

Ort: Zürich (CH)

drupa

Weltweit führende Fachmesse für Drucktechnologien

Datum: 9.-17. Mai 2028

Ort: Düsseldorf (D)

Texcare International

Weltweit führende Fachmesse für die Textilpflegebranche

Datum: 8.-11. November 2028

Ort: Frankfurt am Main (D)

Bezugsquellenverzeichnis